
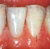
Dall’immagine sopra riportata si può valutare le caratteristiche della gengiva sana. La foto dimostra una gengiva piana e con un caratteristico aspetto a “buccia di arancia” e colorito rosa. L’attacco dell’epitelio è alto e le strutture parodontali sono protette dai germi e dagli elementi salivari.

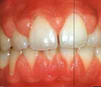
In quest’ultima immagine invece si può notare la perdita della forma a buccia di arancia e il rigonfiamento del cercine gengivale caratteristico della parodontite. Osservando all’interno (immagine di destra) si può notare la formazione di una vera e propria tasca gengivale, la perdita dell’attacco dell’epitelio e la formazione della placca (in giallo) che concorre a scalzare la gengiva dal dente.

